微創脊椎注射鎮痛消炎

微創脊椎注射鎮痛消炎

脊椎神經痛症的原因

脊椎神經痛症的原因很多,常見的有椎間盤突出及相關病變、 脊椎小關節病變、薦髂關節病變、腰椎退化症、腰椎滑脫症、 及腰椎椎管狹窄症等等。

脊椎神經痛症的症狀

因 為脊椎神經受到壓迫,所以產生了臀部疼痛、大小腿及足部疼痛、 麻痺或乏力、或間歇性跛行的神經根壓迫症狀,就是稱為坐骨神經痛

常見的病變部位

神經根受壓迫的部位以第五腰椎及第一骶骨薦椎 之間位置最為常見,其次為第四及第五腰椎之間位置。

怎麼治療脊椎神經痛症

一般建議採用保守療法如:

微創脊椎注射鎮痛消炎

在臨床上,脊椎注射具有協助 診斷及治療的作用。注射能夠控制疼痛及延遲微創脊椎手術進行等用途。 「脊椎注射止痛」是將少量類固醇及麻醉劑精準地注射至脊椎的特定病變部位,解 除患部的發炎反應,進而達到即時消除下背疼痛及坐骨神經痛之目的。

脊椎注射止痛的方式包括:
  • 脊椎硬膜外注射
  • 脊椎神經根注射
  • 脊椎小關節面注射
  • 薦髂 關節注射
怎樣為病人進行微創脊椎注射止痛:
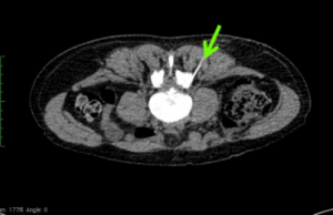
  • 醫生需在醫院中進行脊椎注射,透過X光機或CT scan 斷層電腦掃描作為導引
  • 使用特殊的長細 針管,將少量藥物直接注射至脊椎的病變患處
脊椎注射的好處:
  • 脊椎注射可達到即時而長久的神經根消炎及止痛之目的,相比下: 傳統口服或體外止痛貼需要數星期或數月才達到相同的效果。
  • 脊椎注射所用藥物劑量極為低, 只是整個傳統口服藥物或體外止痛貼療程的千份之一。
  • 脊椎注射的藥物只是局部針對脊椎的病變位置、不像傳統口服或體外止痛貼藥物一樣:其藥物要經我們的腸胃或皮膚吸收,再經內臓的分解及血液的帶領,亦要將藥物運行至全身體的細胞,因而影響沒有像脊椎病變的其他身體內臓:如肝臟、腎臟、腦部及脊髓中樞神經系統…等等。
  • 由於脊椎注射所用藥物劑量極為之低,這樣就可以避免使用傳統口服藥物或體外止痛貼的副作用:如藥物敏感,腸胃不適…等等。
  • 急性疼痛病人、經脊椎注射治療後,疼痛緩解的有效率可達百分之八十二;而長期慢性期疼痛的病人, 緩解有效率亦為百分之七十左右。
  • 脊椎注射後,病人可以即時解除痛症的綑擾, 亦可即時使緊硬的腰背肌肉放鬆,病人從而可以即時回服正常生活、參與伸展及段練腰背肌的運動、減肥運動,及以Cox® 椎間盤減壓治療法去幫助神經減壓,這樣就能得到更佳的治療效果。
脊椎注射的限制:
  • 因人而異,注射後止痛的效果可以維持一個月至數個月不等,疼痛改善的程度, 視乎疾病的病因與嚴重度而有不同; 但其間病人可以無需服用高劑量的傳統口服藥物或體外止痛貼。脊椎注射後,病人因為痛症的綑擾會得到即時解除, 他們可即時參與伸展及段練腰背肌的運動、減肥運動,及以Cox® 椎間盤減壓治療法去幫助神經根減壓,從而得到更佳及更長久的治療效果。
  • 一般而言,脊椎注射止痛的次數以一 年不超過 3 次為宜,若實施一至三次以上,我們則需要考慮:
    • 射頻神經止痛治療法(止痛的效果可維持一至兩年)或;
    • 微創內窺鏡或顯微鏡脊 椎手術治療,從而得到可機會根治及永久去除神經受壓痛症的長期折磨。
脊椎注射止痛的可能的風險包括:
  • 接受脊椎注射後,因有短暫麻醉成份,病人可能會有數小時暫時性的背部或腿部麻痺及軟弱無力的感覺。
  • 原來的疼痛部位在得到改善之後,其他沒有接受注射治療的脊椎病變部位的病徴可能變得明顯。
  • 可能會對所注射的藥物產生過敏或短暫炎症的反
  • 正在服用抗凝血藥或血小板藥的病人需要停藥四天至十天不等,以減低因注射而出血的風險。
  • 皮膚嚴重發炎或感染病者需要得到病情控制,從而減低細菌感染的風險。
結論
  • 脊椎注射止痛是治療急性或慢性下背痛及坐骨神經痛的治療選擇之一,其優點在於侵 略性低、安全性高,同時可達到延遲進行脊椎手術的目標。
  • 若您有急性或慢性下背痛 及坐骨神經痛的困擾,可經由脊骨神經醫生或腦神經外科醫生的評估後,選擇適當的脊椎注射止痛方式進行 治療,應可獲得相當程度的改善。

案例:85 歲婆婆,透過CT scan 電腦斷層掃描 的導引下, 進行撰擇性脊椎神經根硬暯外注射,得到即時止郊果.

透過CT X 光機導引下, 進行脊椎神經根注射

 

透過CT X 光機導引下, 進行脊椎神經根注射
脊椎小關節面注射
脊椎硬膜外注射
error: Content is protected !!